Kefalogram (Telerendgen) – Lateralni Cefalogram u Beogradu | Dental Scan

Kefalogram (Telerendgen) – Lateralni Cefalogram u Beogradu | Dental Scan
Šta je kefalogram?
Kefalogram, poznat i kao telerendgen ili lateralni cefalogram (eng. Lateral Cephalometric Radiograph – LCR), standardizovani je rendgenski snimak glave koja se koristi pre svega u ortodontskoj dijagnostici i planiranju terapije. Reč je o preciznom snimku koji pruža uvid u međusobni odnos vilica, zuba i kostiju lica — informacije koje nijedna druga vrsta snimanja ne može da pruži na ovaj način.
U Dental Scan centru u Beogradu, kefalogram radimo na savremenom digitalnom aparatu, uz odmah dostupne rezultate — bez zakazivanja, odmah po dolasku.
Kako se radi kefalogram?
Snimanje se izvodi sa standardizovane udaljenosti od 1,5 metra, pri čemu je glava pacijenta fiksirana u specijalnom nosaču (cefalostatu) koji osigurava ponovljivost položaja. Dva fiksatora se postavljaju u spoljašnje ušne hodnike, sagitalna ravan glave je paralelna sa filmom, zubi su u centralnoj okluziji, a Frankfurtska ravan je postavljena horizontalno. Ovakva preciznost je ključna jer svako odstupanje od standardnog položaja može uticati na tačnost merenja.
Zbog standardizovane tehnike, kefalogram je jedini rendgenski snimak na kome je moguće raditi pouzdanu kefalometrijsku analizu — niz merenja uglova i dužina na osnovu kojih se donose dijagnostičke i terapijske odluke.
Zašto je kefalogram važan — i za stomatologe i za pacijente?
Za ortodonte i hirurge: Kefalogram je osnova za planiranje ortodontske terapije, posebno kada se razmatra ortognatska hirurgija (korekcija položaja vilice operacijom). Omogućava procenu uzroka malokluzije — da li je problem u skeletu, zubima ili kombinaciji oba faktora.
Za pacijente: Ako vam je stomatolog preporučio nošenje aparatića, planira operaciju vilice ili prati tok lečenja, kefalogram je snimak koji mu daje precizne podatke o položaju vaših vilica i zuba — i koji se ne može zameniti vizuelnim pregledom niti panoramskim snimkom.
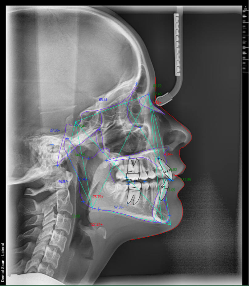
Šta se vidi na kefalogramu?
Na lateralnom cefalogramu jasno se uočavaju sve ključne strukture lica i vilica, a najvažniji anatomski elementi su:
- Sela turcika (S) — centralna referentna tačka lobanje
- Nasion (N) — tačka nazofrontalne suture
- Tačka A — najdublja tačka prednje konture gornje vilice (maksile)
- Tačka B — najdublja tačka prednje konture simfize donje vilice (mandibule)
- Gonion (Go) — najniži ugao mandibule
- Menton (Me) — najniža tačka simfize mandibule
- ANS i PNS — prednja i zadnja nosna bodlja
Ove anatomske tačke su osnova za crtanje kefalometrijskih ravni i uglova koji definišu dijagnozu.

Kefalometrijska analiza — merenja i referentne vrednosti
Nakon što se snimak napravi, ortodont vrši kefalometrijsku analizu — ručno ili digitalnim softverom — mereci ključne uglove i odnose. Najvažniji parametri su:
| Merenje | Prosečna vrednost (Eastman standard) |
|---|---|
| SNA ugao | 81° ± 3° |
| SNB ugao | 78° ± 3° |
| ANB ugao | 3° ± 2° |
| Ugao gornjeg sekutića prema maksilarnoj ravni | 109° ± 6° |
| Ugao donjeg sekutića prema mandibularnoj ravni | 93° ± 6° |
| Interincizalni ugao | 135° ± 10° |
| MMPA (maksilomandibularni ugao) | 27° ± 4° |
| Proporcija lica | 55% ± 2% |
SNA i SNB uglovi pokazuju anteroposteriorni položaj gornje, odnosno donje vilice u odnosu na bazu lobanje. ANB ugao — razlika između SNA i SNB — određuje skeletnu klasu pacijenta: vrednost 2–4° odgovara Klasi I, ispod 2° je Klasa III, a iznad 4° Klasa II. Ovo je jedna od ključnih informacija za planiranje ortodontskog lečenja.
MMPA ugao (između maksilarne i mandibularne ravni) govori o vertikalnom obrascu rasta vilice — povećan ugao ukazuje na zadnji obrazac rasta i smanjen prepklop sekutića.
Kada se radi kefalogram?
Kefalogram se preporučuje u sledećim situacijama:
- Pre početka ortodontskog lečenja — kao osnovna dokumentacija i polazna tačka za analizu
- Planiranje ortognatske hirurgije — bez kefalograma operacija vilice se ne planira
- Praćenje terapije — kontrolni snimci tokom lečenja radi provere napretka
- Procena uzroka malokluzije — skeletni, dentalni ili kombinovani uzrok
- Istraživačke svrhe — uz kliničku opravdanost
Kefalogram u Dental Scan centru Beograd
U Dental Scan centru, kefalogram radimo na najsavremenijoj digitalnoj opremi koja obezbeđuje:
- Visoku dijagnostičku preciznost uz minimalno zračenje (Low Dose tehnologija)
- Digitalni format snimka — odmah dostupan za slanje ortodontu ili uvoz u softver za analizu
- Snimanje bez zakazivanja — dolazite kada vama odgovara, Venizelosova 3, Stari Grad, Beograd
- Brzi rezultati — snimak je spreman odmah
Kefalogram je dostupan kao samostalna usluga ili u kombinaciji sa ortopan snimkom i 3D CBCT snimanjem — u zavisnosti od onoga što vaš stomatolog ili ortodont preporučuje.
Savet Dental Scan tima
Savremeni digitalni kefalogrami omogućavaju ortodontima da kefalometrijsku analizu rade direktno u softveru, automatski ili poluautomatski — što smanjuje grešku i ubrzava planiranje terapije. Ako ste ortodont koji šalje pacijente na kefalogram, naši snimci su u DICOM formatu i kompatibilni sa vodećim ortodontskim softverima za analizu. Kontaktirajte nas za detalje o saradnji.
Po nalogu Ortodonta možemo uraditi preciznu automatsku analizu Telerendgen snimka uz pomoć veštačke intelingencije. Dostupne su Vam sledeće analize:
- AMC I
- AMC II
- Beijing
- Burstone
- Downs
- Jarabak
- Jefferson
- Kim
- McNamara
- Method I
- Method II
- Riketts
- Steiner
- Tweed
- Wylie
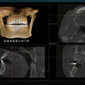
3D snimanje zuba
3D ENDO
3D snimanje zuba malo polje 5×5
- Trodimenzionalna slika korenskih kanala, otkriva skrivene kanale i periapikalne lezije koje 2D snimak ne može prikazati.Polje snimanja od svega 5×5 cm znači ciljanu dijagnostiku. Snimak je gotov za manje od 10 minuta, uz AI asistenciju i digitalnu dostavu — bez zakazivanja.
3D FOKUS
- CBCT Fokus snimak (8×8 cm) namenjen je preciznoj trodimenzionalnoj analizi ograničene regije vilice — bez nepotrebnog izlaganja celih vilica i sinusa. Idealno rešenje kada je dijagnoza lokalizovana, a potrebna su pouzdana merenja i jasna anatomska slika.
3D SEMI
- Planiranje ugradnje implantata, oralno-hirurške intervencije poput sinus lifta i koštanih augmentacija, kao i kompleksna protetska rekonstrukcija. Snimak sadrži sve podatke o prostornim odnosima zuba, sinusa i mandibularnog kanala — u formatu, kompatibilnom sa vodećim softverima za planiranje.
3D STANDARD
3D snimanje zuba obe vilice 12×9
- CBCT Standard (12×9 cm) obuhvata obe vilice u celosti — gornju i donju — u jednom skenu. Ovo je najsveobuhvatniji format 3D snimanja, namenjen situacijama kada je potrebna kompletna analiza: višestruki implantati, složene protetske rekonstrukcije, oralno-hirurška planiranja i dijagnostika.
2D snimanje zuba
Ortopan
- Ortopan (ortopantomografija) – panoramska 2D radiografska tehnika koja u jednom snimku prikazuje obe vilice, sve zube i korenove, vilične zglobove i okolne koštane strukture.
Telerendgen
- Lateralni cefalogram (Telerendgen), bočni radiografski snimak glave koji prikazuje prostorne odnose između zuba, vilica i kostiju lica. Koristi se ortodontskoj dijagnostici.
Imate pitanja? Pozovite nas ili dođite bez zakazivanja.
📍 Venizelosova 3, Stari Grad, Beograd 📞 063 841 15 60 ✉️ info@dentalscan3d.rs
Snimanje bez čekanja — rezultati odmah.
Dental Scan Beograd
Snimanje zuba Dental Scan
Centar za 3d snimanje zuba, Digitalni Ortopan i Dentalne snimke. Opremljen savremenim apartima za cbct snimanje i 2d snimke visoke rezolucije. Koristimo softvere sa veštačkom inteligencijom (AI) za obradu i analizu rendgen snimaka. Prioritet stavljamo na bezbedno snimanje zuba u modernom prostoru sa visokim stepenom higijene i udobnom ambijentu. Lokacija u centru Beograda na Starom Gradu, parking za automobile u zoniranom delu. Adresa: Venizelosova 3, Beograd – Stari Grad (Dorćol)

