CBCT Semi 10×7 cm – 3D snimak jedne vilice
CBCT Semi je precizan 3D snimak jedne vilice (gornje ili donje), namenjen ciljanoj dijagnostici uz nižu dozu zračenja i brzu akviziciju snimka. Ova vrsta snimanja idealna je kada klinička indikacija zahteva detaljan prikaz ograničene regije, bez potrebe za snimanjem obe vilice.


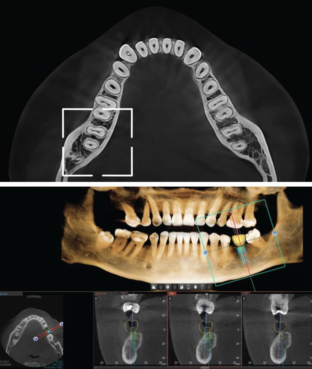
Dve zone (gornja ili donja vilica) za detaljnu analizu i planiranje
Snimak gornje, odnosno donje vilice, pruža sve potrebne podatke za tačnu dijagnozu i planiranje terapije.
Kada se koristi CBCT SEMI snimanje?
- Planiranje ugradnje implantata u jednoj vilici
- Oralno-hirurške intervencije – sinus lift, koštane augmentacije
- Protetika – planiranje mostova, krunica i složenih rekonstrukcija
- Procena odnosa zuba sa anatomskim strukturama (sinus, mandibularni kanal)

Prednosti CBCT SEMI snimanja kod nas
- Visoka 3D rezolucija i izuzetna dijagnostička preciznost
- Manja zona snimanja → manja izloženost zračenju pacijenta
- Brzo snimanje i isporuka rezultata
- Digitalni format spreman za implantološki, ortodontski i endodontski softver
- Pogodno za jasno objašnjenje terapije pacijentu
Tehničke mogućnosti našeg aparata
- Polje snimanja10x7 cm
- Multiplanar i 3D rekonstrukcija za kompletnu analizu
- Potpuna kompatibilnost sa softverima za implant i ortodontsko planiranje
- Stabilan položaj pacijenta uz automatsko poravnanje i minimizaciju artefakata
Prednosti za stomatologe
- Sve potrebne informacije za implantologiju i dijagnostiku u jednom snimku
- Ušteda vremena – nema potrebe za dodatnim snimanjima
- Precizna analiza svih struktura
- Idealno za interdisciplinarne timove

Zašto odabrati Dental Scan za CBCT 3D SEMI?
- Premium CBCT tehnologija nove generacije
- Stručan tim dostupan za konsultacije
- Lokacija u centru Beograda – bez zakazivanja i čekanja
Uradite CBCT 3D SEMI odmah bez zakazivanja!
Venizelosova 3, Stari Grad, Beograd
Za dodatne informacije pozovite ili pošaljite poruku.