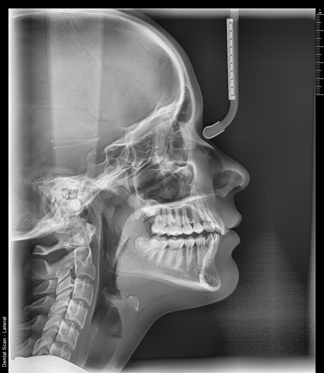
Lateralni cefalogram – bočni prikaz glave i vilice
Lateralni cefalogram (Lateralni Kefalogram ili Telerendgen) je bočni radiografski snimak glave i vilice koji pruža detaljne informacije o odnosima između zuba, vilica i kostiju lica. U Dental Scan centru koristimo ultra HD digitalnu tehnologiju koja omogućava visoku rezoluciju uz minimalnu dozu zračenja, a snimanje se obavlja brzo i bez zakazivanja.


Kada se preporučuje lateralni cefalogram?
- Ortodontska dijagnostika – analiza položaja zuba i odnosa vilica
- Planiranje ortodontske terapije – postavljanje i praćenje fiksne proteze
- Praćenje rasta i razvoja – kod dece i adolescenata
- Oralna i maksilofacijalna hirurgija – preoperativna i postoperativna procena
- Procena simetrije lica i strukturalnih promena
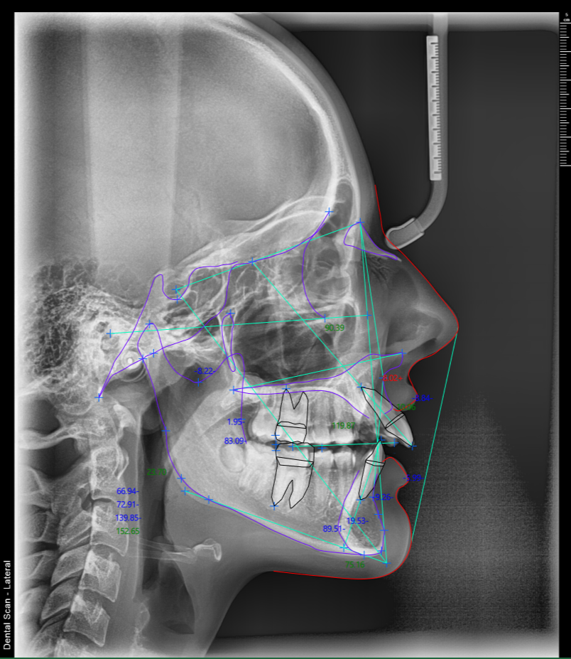
Orto analize uz lateralni cefalogram
U Dental Scan centru, uz svaki lateralni cefalogram nudimo širok spektar standardizovanih i naprednih ortodontskih analiza, prilagođenih savremenim protokolima planiranja terapije.
Precizna cefalometrijska analiza za pouzdanu procenu skeletnih, dentalnih i mekotkivnih odnosa, kao i jasnu osnovu za izbor terapijske strategije.
Na raspolaganju su sledeće ortodontske analize:
- AMC I
- AMC II
- Beijing
- Burstone
- Downs
- Jarabak
- Jefferson
- Kim
- McNamara
- Method I
- Method II
- Riketts
- Steiner
- Tweed
- Wylie

Jedan snimak – kompletna ortodontska dijagnostika
Sve analize se izrađuju digitalno, uz visoku preciznost merenja i jasan grafički prikaz, što omogućava lakšu interpretaciju i sigurnije donošenje kliničkih odluka. Unapredite Vaše planiranje ortodontske terapije, praćenje napretka i profesionalnu komunikaciju sa pacijentima.
Brzo, pouzdano i u skladu sa potrebama savremene ortodontske prakse. Rezultati gotovi za 5 minuta
Prednosti lateralnog cefalograma u Dental Scan centru
- Visoka rezolucija – jasni i precizni dijagnostički detalji
- Minimalna doza zračenja – bezbedno za sve uzraste
- Brza procedura – snimanje traje svega nekoliko sekundi
- Digitalna isporuka – e-mail, CD/USB ili medicinska folija
- Bez zakazivanja – dolazak kad vama odgovara
Uradite lateralni cefalogram odmah bez zakazivanja!
Venizelosova 3, Stari Grad, Beograd
Za dodatne informacije pozovite ili pošaljite poruku.