Digitalni Ortopan i Telerendgen (Kefalogram) Beograd | Dental Scan

Digitalni Ortopan i Telerendgen (Kefalogram) Beograd | Dental Scan
Dva snimka za početak ortodontskog lečenja
Kada ortodont kaže „treba nam snimanje pre postavke“ — najčešće misli na dva snimka: ortopan i telerendgen (kefalogram). Ova kombinacija nije slučajna. Svaki od ova dva snimka daje drugačiju vrstu informacija, a zajedno čine potpunu dijagnostičku osnovu bez koje se ortodontsko lečenje ne planira — ni za decu, ni za odrasle.
U Dental Scan centru u Beogradu oba snimka radite na jednom mestu, istog dana, bez zakazivanja, na najsavremenijoj digitalnoj opremi — i odmah odlazite sa rezultatima u rukama.
Ortopan snimak — panoramski pregled celih vilica
Šta je digitalni ortopan?
Digitalni ortopan (ortopantomografija, panoramski snimak, OPG ili OPT) je 2D rendgenska tehnika koja u jednom snimcku prikazuje celokupno stanje usta i vilica. Na jednom snimku vide se:
- svi zubi gornje i donje vilice, zajedno sa korenovima
- položaj i razvijenost zubnih klica kod dece
- umnjaci i eventualno zaostali (neiznickli) zubi
- viličnii zglobovi (TMZ)
- koštano tkivo vilica
- maksilarni sinusi i okolne koštane strukture
Upravo zato digitalni ortopan gotovo uvek dolazi prvi — jer orthodontu ili stomatologu daje brz, sveobuhvatan pregled celog oralnog sistema, pre nego što se donosi bilo kakva terapijska odluka.
Kada se radi ortopan?
- Početak ortodontskog lečenja (aparati, proteze, folije)
- Praćenje razvoja zuba kod dece
- Procena položaja umnjaka
- Planiranje vađenja zuba ili implantata
- Dijagnostika cista, granuloma, infekcija
- Redovni pregled i kontrola stanja vilica
Kako izgleda snimanje?
Snimanje je brzo, bezbolno i traje svega nekoliko sekundi. Pacijent stoji ili sedi, aparat se rotira oko glave i u jednom prolazu snima celu vilicu. Nema ubadanja, nema nelagodnosti. Rezultat je digitalni ortopan snimak visokog dijagnostičkog kvaliteta — dostupan odmah, u formatu pogodnom za slanje ortodontu ili stomatologu.

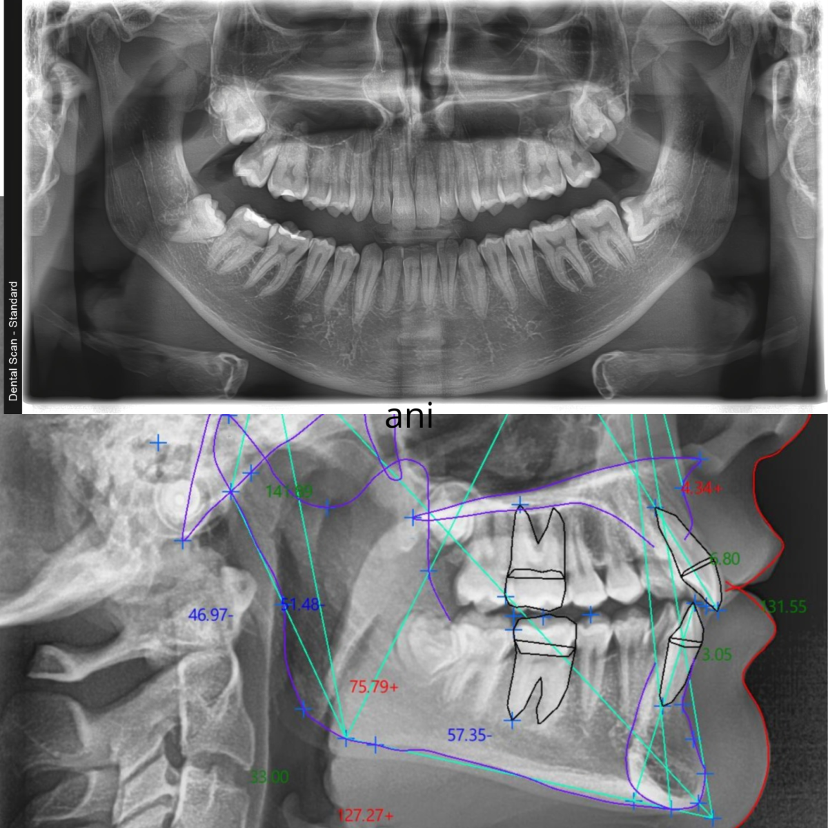
Telerendgen (Kefalogram) — merenje vilica i planiranje terapije
Šta je telerendgen?
Telerendgen, stručno nazvan lateralni cefalogram (eng. Lateral Cephalometric Radiograph), standardizovan je rendgenski snimak glave u profilu. Za razliku od ortopana koji prikazuje zube, telerendgen prikazuje odnos kostiju lica i vilica — i to na način koji omogućava precizno merenje.
Snimanje se radi sa tačno definisane udaljenosti od 1,5 metra, a glava pacijenta se pozicionira u specijalnom nosaču (cefalostatu): dva fiksatora u spoljašnjim ušnim hodnicima, zubi u centralnoj okluziji, a Frankfurtska ravan horizontalno. Ova standardizacija je ključna — jedino tako se rezultati mogu porediti u vremenu i planirati lečenje sa preciznošću.
Šta se vidi na telerendgenu?
Na kefalogramu se jasno uočavaju sve važne koštane tačke lica, na osnovu kojih se crtaju uglovi i ravni. Najvažniji elementi analize su:
Anatomske tačke:
- Sela (S) — centralna referentna tačka baze lobanje
- Nasion (N) — tačka između čela i nosa
- Tačka A — najdublja tačka prednje ivice gornje vilice (maksile)
- Tačka B — najdublja tačka prednje ivice donje vilice (mandibule)
- Gonion (Go) — ugao mandibule
- Menton (Me) i Pogonion (Pog) — tačke brade
Ključni uglovi i šta znače:
| Merenje | Prosek (Eastman standard) | Šta pokazuje |
|---|---|---|
| SNA ugao | 81° ± 3° | Položaj gornje vilice prema bazi lobanje |
| SNB ugao | 78° ± 3° | Položaj donje vilice prema bazi lobanje |
| ANB ugao | 3° ± 2° | Odnos gornje i donje vilice (skeletna klasa) |
| Ugao gornjeg sekutića | 109° ± 6° | Nagib prednjih zuba gornje vilice |
| Ugao donjeg sekutića | 93° ± 6° | Nagib prednjih zuba donje vilice |
| Interincizalni ugao | 135° ± 10° | Odnos između prednjih zuba — dubina zagrižaja |
| MMPA ugao | 27° ± 4° | Vertikalni obrazac rasta vilice |
ANB ugao je posebno važan za ortodonta: vrednost 2–4° znači normalan (Klasa I) odnos vilica, ispod 2° ukazuje na prognatizam donje vilice (Klasa III), a iznad 4° na retruziju donje vilice ili protruziju gornje (Klasa II). Na osnovu ove vrednosti ortodont zna sa čime radi — i bira terapiju koja odgovara uzroku, ne samo simptomu.
Zašto su oba snimka potrebna zajedno?
Ovo je pitanje koje pacijenti često postavljaju: „Zar nije dovoljan jedan snimak?“
Odgovor je jasan: nisu isti, ne prikazuju isto, i jedan bez drugog daje nepotpunu sliku.
Ortopan prikazuje zube — koliko ih ima, gde su, u kakvom su stanju, da li ima zaostalih zuba ili problema sa korenoviima.
Telerendgen prikazuje kosti — kako su gornja i donja vilica pozicionirane jedna prema drugoj i prema bazi lobanje, i koji je obrazac rasta lica.
Ortodont koji planira terapiju mora znati i jedno i drugo. Da li je problem u zubima, u vilicama, ili u oba? Da li je dovoljno nošenje aparata, ili je potrebna i hirurška korekcija? Da li su sekutići nagnuti ili je sama vilica pogrešno pozicionirana? Bez ortopana i telerendgena, ova pitanja ostaju bez preciznog odgovora.
Zbog toga ortodonti i dečji stomatolozi rutinski traže oba snimka istovremeno — kao startni paket za svako lečenje nepravilnog zagrižaja ili iskrivljenih zuba.
Digitalni ortopan i telerendgen u Dental Scan centru Beograd
U Dental Scan centru oba snimka radite na jednom mestu, u jednoj poseti, bez čekanja i bez zakazivanja.
Zašto pacijenti i ortodonti biraju Dental Scan:
- Savremena digitalna oprema — Ultra HD rezolucija ortopana i standardizovani cefalostat za precizno pozicioniranje pri telerendgenu
- Low Dose tehnologija — minimalna doza zračenja, bez kompromisa po kvalitet snimka
- Digitalni DICOM format — snimci kompatibilni sa svim vodećim ortodontskim softverima za analizu (Dolphin, OrthoVision i drugi)
- Odmah dostupni rezultati — na licu mesta, e-mailom ili na CD/USB
- Bez zakazivanja — dolazite kada vama odgovara, bez čekanja na termin
- Lokacija u centru Beograda — Venizelosova 3, Stari Grad, 5 minuta od Trga Republike
Kako doći do snimaka?
Proces je jednostavan:
- Dođite u Dental Scan, Venizelosova 3, Stari Grad — bez zakazivanja
- Recite nam da vam je potreban ortopan i telerendgen (ili donesite uput od ortodonta)
- Oba snimka su gotova za manje od 10 minuta
- Odlazite sa digitalnim snimcima — odmah ih šaljete svom ortodontu
Savet Dental Scan tima stomatolozima
Za ortodontske prakse koje redovno upućuju pacijente na snimanje: naši digitalni kefalogrami isporučuju se u DICOM formatu sa svim relevantnim metapodacima, što omogućava direktan uvoz u ortodontske softvere bez dodatne kalibracije. Ako koristite specifičan softver za kefalometrijsku analizu, kontaktirajte nas — prilagodićemo format isporuke vašim potrebama. Saradnja sa ordinacijama je deo naše svakodnevne prakse
3D snimanje zuba
3D ENDO
3D snimanje zuba malo polje 5×5
- Trodimenzionalna slika korenskih kanala, otkriva skrivene kanale i periapikalne lezije koje 2D snimak ne može prikazati.Polje snimanja od svega 5×5 cm znači ciljanu dijagnostiku. Snimak je gotov za manje od 10 minuta, uz AI asistenciju i digitalnu dostavu — bez zakazivanja.
3D FOKUS
- CBCT Fokus snimak (8×8 cm) namenjen je preciznoj trodimenzionalnoj analizi ograničene regije vilice — bez nepotrebnog izlaganja celih vilica i sinusa. Idealno rešenje kada je dijagnoza lokalizovana, a potrebna su pouzdana merenja i jasna anatomska slika.
3D SEMI
- Planiranje ugradnje implantata, oralno-hirurške intervencije poput sinus lifta i koštanih augmentacija, kao i kompleksna protetska rekonstrukcija. Snimak sadrži sve podatke o prostornim odnosima zuba, sinusa i mandibularnog kanala — u formatu, kompatibilnom sa vodećim softverima za planiranje.
3D STANDARD
3D snimanje zuba obe vilice 12×9
- CBCT Standard (12×9 cm) obuhvata obe vilice u celosti — gornju i donju — u jednom skenu. Ovo je najsveobuhvatniji format 3D snimanja, namenjen situacijama kada je potrebna kompletna analiza: višestruki implantati, složene protetske rekonstrukcije, oralno-hirurška planiranja i dijagnostika.
2D snimanje zuba
Ortopan
- Ortopan (ortopantomografija) – panoramska 2D radiografska tehnika koja u jednom snimku prikazuje obe vilice, sve zube i korenove, vilične zglobove i okolne koštane strukture.
Telerendgen
- Lateralni cefalogram (Telerendgen), bočni radiografski snimak glave koji prikazuje prostorne odnose između zuba, vilica i kostiju lica. Koristi se ortodontskoj dijagnostici.
Imate pitanja? Pozovite nas ili dođite bez zakazivanja.
📍 Venizelosova 3, Stari Grad, Beograd 📞 063 841 15 60 ✉️ info@dentalscan3d.rs
Snimanje bez čekanja — rezultati odmah.
Dental Scan Beograd
Snimanje zuba Dental Scan
Centar za 3d snimanje zuba, Digitalni Ortopan i Dentalne snimke. Opremljen savremenim apartima za cbct snimanje i 2d snimke visoke rezolucije. Koristimo softvere sa veštačkom inteligencijom (AI) za obradu i analizu rendgen snimaka. Prioritet stavljamo na bezbedno snimanje zuba u modernom prostoru sa visokim stepenom higijene i udobnom ambijentu. Lokacija u centru Beograda na Starom Gradu, parking za automobile u zoniranom delu. Adresa: Venizelosova 3, Beograd – Stari Grad (Dorćol)
FAQ — Ortopan i Telerendgen (Kefalogram) | Dental Scan Beograd
Često postavljana pitanja o ortopanu i telerendgenu
OPŠTA PITANJA
Da li moram da zakazem termin za ortopan ili telerendgen?
Ne. U Dental Scan centru oba snimka radite bez zakazivanja. Dolazite kada vama odgovara — ujutru, u toku dana, bez čekanja na slobodan termin. Jedino što vam je potrebno je uput od stomatologa ili ortodonta, ili možete doći i bez uputa ako znate koji snimak vam treba.
Koliko dugo traje snimanje?
Samo snimanje traje nekoliko sekundi — aparat napravi jedan prolaz oko glave i gotovo je. Cela poseta, uključujući pripremu i pozicioniranje, traje manje od 10 minuta za oba snimka zajedno. Rezultate dobijate odmah pre nego što napustite centar.
Da li snimci bole?
Apsolutno ne. Ni ortopan ni telerendgen nisu invazivni postupci. Nema ubadanja, nema kontakta aparata sa zubima ili desnima. Pacijent stoji aparat se rotira ili ostaje fiksan, i to je sve. Postupak je potpuno bezbolan i bez ikakve nelagodnosti — čak i za decu i anksiozne pacijente.
Da li su snimci dostupni odmah?
Da. Digitalni snimci su dostupni odmah nakon snimanja — u ordinaciji, na licu mesta. Možete ih poneti na CD-u, USB-u, dobiti e-mailom ili u vidu medicinske folije, zavisno od vaših potreba i potreba vašeg ortodonta.
U kom formatu se isporučuju snimci?
Snimci se isporučuju u DICOM formatu — medicinskom standardu koji je kompatibilan sa svim ortodontskim i stomatološkim softverima. Pored toga, dostupni su i kao JPG/PNG slike za brzo deljenje, kao i štampani na medicinskoj foliji ako je to potrebno. Ako vaš ortodont koristi specifičan softver, javite nam — prilagodićemo format.
Mogu li doći bez uputa od stomatologa?
Da. Uput nije obavezan uslov. Ako znate koji snimak vam je potreban — na primer, jer vam je ortodont rekao „treba ti ortopan i telerendgen“ — možete doći direktno. Naše osoblje će vas pravilno pozicionirati i snimanje će biti obavljeno po svim standardima.
PITANJA O ORTOPANU
Šta je ortopan snimak i šta se vidi na njemu?
Ortopan (ortopantomografija, panoramski snimak, OPG) je panoramska rendgenska snimka koja u jednoj slici prikazuje celu vilicu. Na njemu se vide svi zubi sa korenovima, koštano tkivo gornje i donje vilice, viličnii zglobovi, maksilarni sinusi, kao i neiznickli ili zaostali zubi. To ga čini prvim i najinformativnijim snimkom koji svaki stomatolog ili ortodont traži pre početka bilo kakvog lečenja.
Zašto ortodont traži ortopan pre aparatića?
Ortodont mora da zna tačno stanje svih zuba pre nego što postavi aparatiće. Ortopan mu pokazuje: da li ima zaostalih zubnih klica ili neizniklih zuba koji bi mogli poremetiti tok terapije, kakvo je stanje korenova, da li postoje ciste ili granulomi, i kakav je opšti odnos zuba u vilici. Bez ove informacije, plan terapije bi bio nepotpun i potencijalno rizičan.
Da li je ortopan dovoljan snimak za početak ortodontskog lečenja?
U većini slučajeva — nije dovoljan sam. Ortopan prikazuje zube, ali ne i međusobni odnos vilica ni nagib sekutića. Ortodontu je za kompletnu analizu potreban i telerendgen (kefalogram) koji pruža informacije o skeletnom obrascu lica. Zajedno, ova dva snimka čine standardni dijagnostički paket za početak ortodontskog lečenja.
Koliko često treba raditi ortopan?
Kod odraslih pacijenata bez aktivnog lečenja, ortopan se preporučuje svakih 3 do 5 godina kao kontrolni snimak. Kod pacijenata koji su na ortodontskom lečenju, snimci se rade po protokolu koji određuje ortodont — obično na početku, tokom i na kraju terapije. Kod dece, dinamiku određuje stomatolog u skladu sa razvojem zuba.
Može li se ortopan raditi trudnicama?
Snimanje u trudnoći nije preporučljivo, posebno u prvom trimestru, osim u slučaju medicinske nužde. Ako ste trudni ili postoji mogućnost trudnoće, obavezno obavestite naše osoblje pre snimanja. U hitnim slučajevima gde je snimanje neophodno, koristimo sve raspoložive zaštitne mere kako bi doza zračenja bila minimalna.
Šta znači „Low Dose“ tehnologija kod ortopana?
Low Dose označava optimizovane protokole snimanja koji omogućavaju dijagnostički kvalitetnu sliku uz znatno manju dozu zračenja nego kod starijih aparata. U Dental Scan centru koristimo opremu sa Low Dose senzorom, što znači da je doza zračenja pri ortopanu uporediva sa dozom koju primite tokom kratkog avionskog leta. Ova tehnologija je posebno važna kod snimanja dece i mladih pacijenata.
Kolika je razlika u dozi zračenja između ortopana i klasičnog rendgena zuba?
Ortopan pokriva veće područje, ali zahvaljujući modernoj digitalnoj tehnologiji, ukupna doza je i dalje veoma niska — od oko 4 do 24 mikrosiverta, zavisno od aparata i protokola. Za poređenje, jednodnevno boravište na prirodnoj pozadinskoj radijaciji iznosi oko 8–10 mikrosiverta. Moderni digitalni aparati, kakav koristimo u Dental Scan centru, su znatno efikasniji od starijih analognih aparata.
PITANJA O TELERENDGENU (KEFALOGRAMU)
Šta je telerendgen i čemu služi?
Telerendgen (lateralni cefalogram) je standardizovana rendgenska snimka glave u profilu. Za razliku od ortopana koji prikazuje zube, telerendgen prikazuje koštane odnose lica i vilica — i to na način koji omogućava precizno merenje uglova i dužina. Na osnovu tih merenja, ortodont utvrđuje da li je problem u zubima, u vilicama, ili u oba, i u skladu sa tim bira terapiju.
Šta je kefalometrijska analiza i da li je Dental Scan radi?
Kefalometrijska analiza je postupak merenja i tumačenja uglova i odnosa na telerendgenu — SNA, SNB, ANB ugao, MMPA, nagib sekutića i drugi parametri. Analizu radi vaš ortodont, najčešće digitalno u svom softveru. Dental Scan isporučuje snimke u DICOM formatu koji je direktno kompatibilan sa svim vodećim ortodontskim softverima. Ako vaš ortodont ima potrebu za specifičnim formatom ili rezolucijom, slobodno nas kontaktirajte.
Šta je ANB ugao i zašto je toliko važan?
ANB ugao je ugao koji pokazuje međusobni odnos gornje i donje vilice u horizontalnom pravcu. Normalna vrednost je oko 3° (±2°). Ako je ANB manji od 2°, donja vilica je isturena napred u odnosu na gornju — to je skeletna Klasa III. Ako je ANB veći od 4°, gornja vilica je isturena ili je donja uvučena — to je skeletna Klasa II. Ova informacija direktno određuje da li je pacijentu dovoljna ortodontska terapija aparatićima ili je potrebna i hirurška korekcija položaja vilice.
Da li telerendgen mogu da radim dete?
Da. Telerendgen se rutinski radi kod dece, najčešće od 7. do 8. godine nadalje, kada ortodont počinje da prati razvoj vilica i planira eventualnu ranu terapiju. Snimanje je brzo, bezbolno i potpuno bezbedno. Doza zračenja je minimalna, a informacije koje snimak pruža su nezamenjive za pravilno praćenje rasta lica.
Koja je razlika između telerendgena i ortopana?
Ortopan prikazuje zube i koštano tkivo vilice u panoramskom, razvijenom prikazu — kao da ste otvorili usta i sve videli odjednom. Telerendgen prikazuje profil glave i vilica sa strane, i koristi se isključivo za analizu skeletnih odnosa i planiranje terapije. To su dve potpuno različite vrste informacija, zbog čega ortodonti standardno traže oba snimka.
Zašto je važno standardizovano pozicioniranje pri telerendgenu?
Jer jedino standardizovana snimka daje merenja koja se mogu pouzdano porediti. Ako glava nije pravilno pozicionirana, uglovi se menjaju i analiza gubi preciznost. U Dental Scan centru koristimo cefalostat sa fiksatorima za oba slušna hodnika, što garantuje da su snimci reproducibilni — isti pacijent, isto pozicioniranje, svaki put.
Da li telerendgen može da pokaže da li je potrebna operacija vilice?
Da, i to je jedna od njegovih najvažnijih primena. Kada ANB ugao i drugi parametri pokazuju značajno odstupanje od normalnih vrednosti, ortodont može zaključiti da sama ortodontska terapija nije dovoljna i da je potrebna ortognatska hirurgija — operacija kojom se menja položaj gornje ili donje vilice. Bez telerendgena, ova odluka se ne može doneti na osnovu pouzdanih podataka.
PITANJA O KOMBINOVANOM SNIMANJU
Zašto ortodont traži i ortopan i telerendgen istovremeno?
Zato što svaki od ova dva snimka daje drugačiju vrstu informacija koje se međusobno dopunjuju. Ortopan pokazuje stanje zuba — koliko ih ima, gde su, kakvi su korenovi, ima li problema. Telerendgen pokazuje položaj vilica — kakav je skeletni obrazac lica, da li su vilice u pravilnom odnosu i koji je smer rasta. Ortodont koji planira terapiju mora imati obe slike da bi mogao da postavi tačnu dijagnozu i odabere pravu terapiju.
Mogu li oba snimka da se urade u istoj poseti?
Da, i to je upravo ono što nudimo u Dental Scan centru. Oba snimka se rade jedan za drugim, ceo postupak traje manje od 10 minuta, i odlazite sa kompletnom dijagnostičkom dokumentacijom. Nema potrebe za dva odvojena dolaska.
Da li moram da donesem prethodni snimak?
Ne morate, ali je korisno. Ako imate prethodne ortopan ili telerendgen snimke, ortodont može da poredi stanje u vremenu i prati napredak ili promene. Ako dolazite prvi put, nije potrebno ništa donositi — radimo sve od početka.
Da li je kombinacija ortopan + telerendgen dovoljna za sve vrste ortodontskog lečenja?
Za veliku većinu slučajeva — da. Ova dva snimka pokrivaju sve što je ortodontu potrebno za dijagnozu i planiranje terapije aparatićima ili alajnerima. U složenijim slučajevima — impaktirani zubi, planiranje implantata, hirurška priprema — ortodont ili hirurg može zatražiti i 3D CBCT snimak, koji pruža trodimenzionalni prikaz svih struktura. I tu uslugu nudimo u Dental Scan centru.
Koliko košta kombinacija ortopan + telerendgen?
Aktuelni cenovnik dostupan je na stranici dentalscan3d.rs/cenovnik. Ako planirate oba snimka, naše osoblje će vam dati sve informacije na licu mesta ili putem telefona.
Da li Dental Scan sarađuje sa ortodontskim ordinacijama?
Da, i to je bitan deo naše prakse. Sarađujemo sa ortodontima i stomatolozima iz celog Beograda koji redovno upućuju pacijente na snimanje. Snimci se isporučuju u DICOM formatu, kompatibilnom sa svim standardnim ortodontskim softverima. Ordinacijama koje redovno sarađuju sa nama garantujemo brzu isporuku, prioritetno snimanje i direktnu komunikaciju kad god je potrebno. Za uspostavljanje saradnje, kontaktirajte nas na info@dentalscan3d.rs ili na 063 841 15 60.
Mogu li snimci biti poslati direktno mom ortodontu?
Da. Snimci mogu biti poslati e-mailom direktno vašem ortodontu ili lekaru, odmah nakon snimanja, u dogovorenom formatu. Samo nam recite kome i u kom obliku trebaju — a mi se pobrinemo za ostalo.
PITANJA ZA RODITELJE
Od koje godine se radi telerendgen kod dece?
Telerendgen se najčešće preporučuje od 7. do 8. godine, kada ortodont počinje procenu razvoja vilica i zuba. Ortopan se može raditi i ranije — već od 4–5 godine, ako postoji klinička indikacija. Odluku donosi ortodont ili dečji stomatolog na osnovu pregleda.
Da li je snimanje bezbedno za decu?
Da. Moderni digitalni aparati sa Low Dose tehnologijom emituju izuzetno malu dozu zračenja, koja je višestruko manja nego kod starijih aparata. Korist od dijagnostičke informacije znatno prevazilazi minimalni rizik od ekspozicije. Snimanje je standardni deo ortodontske obrade i obavlja se svakodnevno kod dece širom sveta.
Šta da kažem detetu pre snimanja?
Recite mu da je postupak brz, bezbolan i da nema ničega čega treba da se plaši. Aparat se samo okreće oko glave i pravi sliku — slično kao fotoaparat. Deca koja znaju šta ih čeka su znatno mirnija i snimanje prolazi bez problema. Naše osoblje je naviklo na rad sa decom i pomoći će da ceo proces prođe glatko.
Da li roditelj može biti prisutan tokom snimanja?
Da, roditelj može biti prisutan u prostoriji tokom pozicioniranja i može ostati napolju sa pogledom na monitor tokom samog snimanja, što je standardna radiološka praksa. Ako postoji razlog da roditelj bude uz dete tokom snimanja, obezbedićemo zaštitnu kecelju.
