Da li je 3D snimanje zuba bezbedno? Kolika je zaista radijacija?

Jedno od najčešćih pitanja koja čujemo od pacijenata pre CBCT snimanja jeste: „Da li je to bezbedno? Koliko sam izložen/a radijaciji?“
Razumemo tu brigu. U nastavku dajemo jasne, iskrene i stručne odgovore.
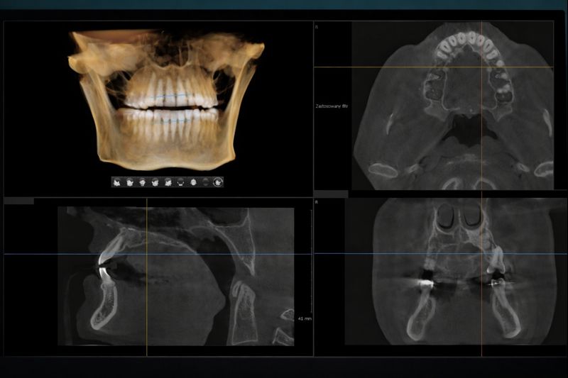
Šta je CBCT 3D snimanje zuba?
CBCT (Cone Beam Computed Tomography) je savremena metoda trodimenzionalnog snimanja zuba, vilice i okolnih struktura. Za razliku od klasičnog ortopan snimka koji daje ravnu, 2D sliku, CBCT pruža detaljan 3D prikaz koji stomatologu omogućava preciznu dijagnostiku i planiranje tretmana.
Koristi se u implantologiji, endodonciji, ortodonciji i oralnoj hirurgiji — svuda gde je potrebna preciznost koja prevazilazi ono što 2D snimak može da pokaže.
Koliko radijacije emituje 3D snimanje zuba?
Ovo je pitanje koje zaslužuje konkretan odgovor, bez ulepšavanja.
Doza radijacije pri CBCT snimanju zavisi od uređaja, veličine polja snimanja (FOV) i protokola snimanja. Moderni uređaji sa niskim dozama emituju između 40 i 200 mikrosiverta (μSv) za jedno snimanje.
Da bismo to stavili u kontekst:
| Izvor radijacije | Doza |
|---|---|
| Jedan CBCT snimak (mali FOV) | ~40–80 μSv |
| Jedan CBCT snimak (veliki FOV) | ~100–200 μSv |
| Digitalni ortopan snimak | ~10–24 μSv |
| Prirodna pozadinska radijacija (godišnje) | ~2.400 μSv |
| Let avionom (Beograd–London) | ~30 μSv |
| CT snimanje glave (medicinski) | ~1.000–2.000 μSv |
Zaključak: Jedan CBCT snimak odgovara dozi koju primamo od prirodnog okruženja za samo nekoliko dana. To je višestruko manje od medicinskog CT-a glave ili stomaka.
Da li je CBCT bezbedno za sve pacijente?
Za veliku većinu odraslih pacijenata — da, CBCT snimanje je bezbedno.
Međutim, postoje situacije kada treba biti oprezan:
- Trudnoća — kao i sve RTG procedure, CBCT se ne preporučuje trudnicama, osim kada je medicinski neophodan i uz konsultaciju lekara.
- Deca — zbog veće osetljivosti rastućih tkiva, doza i indikacija se pažljivo procenjuju.
U Dental Scan centru, svako snimanje se radi na uput stomatologa, što garantuje da postoji opravdana medicinska potreba.
Kako Dental Scan minimizuje izloženost radijaciji?
U Dental Scan centru koristimo najsavremeniju opremu koja je projektovana sa posebnim fokusom na minimalnu dozu radijacije uz maksimalnu kvalitet slike.
Konkretne mere koje preduzimamo:
- Optimizacija protokola snimanja — low dose FOV koji je dovoljan za konkretnu dijagnostiku
- Savremeni detektor — visokoosjetljivi senzori zahtevaju manje radijacije za isti kvalitet slike
- Obuka osoblja — naši osoblje je obučeno da snimanje uvek obavi pravilno uz primenu zaštitnih mera
Šta je veći rizik — snimanje ili nesnimanje?
Ovo je pitanje koje retko ko postavi, a jako je važno.
Nepostavljanje tačne dijagnoze pre implanta, endodontskog tretmana ili hirurške intervencije može dovesti do:
- Postavljanja implanta na pogrešno mesto
- Propuštanja skrivene infekcije ili ciste
- Komplikacija tokom operacije
- Dodatnih tretmana koji su skupi i stresni
U poređenju sa ovim rizicima, doza radijacije pri CBCT snimanju je zanemarljiva.
Vodeće svetske organizacije — uključujući Svetsku zdravstvenu organizaciju (WHO) i Evropsko udruženje za dentalnu i maksilofacijalnu radiologiju (EADMFR) — potvđuju da je CBCT, kada postoji jasna indikacija, bezbedna i preporučena dijagnostička metoda.
Zaključak
3D CBCT snimanje zuba je bezbedna, precizna i savremena dijagnostička metoda sa dozom radijacije koja je višestruko manja od medicinskog CT-a i usporediva sa svakodnevnom prirodnom izloženošću.
Ako vas je stomatolog uputio na CBCT snimanje — to nije razlog za brigu. To je razlog za poverenje u dijagnozu koja će vam biti postavljena.
3D ENDO
3D snimanje zuba malo polje 5×5
- Trodimenzionalna slika korenskih kanala, otkriva skrivene kanale i periapikalne lezije koje 2D snimak ne može prikazati.Polje snimanja od svega 5×5 cm znači ciljanu dijagnostiku. Snimak je gotov za manje od 10 minuta, uz AI asistenciju i digitalnu dostavu — bez zakazivanja.
3D FOKUS
- CBCT Fokus snimak (8×8 cm) namenjen je preciznoj trodimenzionalnoj analizi ograničene regije vilice — bez nepotrebnog izlaganja celih vilica i sinusa. Idealno rešenje kada je dijagnoza lokalizovana, a potrebna su pouzdana merenja i jasna anatomska slika.
3D SEMI
- Planiranje ugradnje implantata, oralno-hirurške intervencije poput sinus lifta i koštanih augmentacija, kao i kompleksna protetska rekonstrukcija. Snimak sadrži sve podatke o prostornim odnosima zuba, sinusa i mandibularnog kanala — u formatu, kompatibilnom sa vodećim softverima za planiranje.
3D STANDARD
3D snimanje zuba obe vilice 12×9
- CBCT Standard (12×9 cm) obuhvata obe vilice u celosti — gornju i donju — u jednom skenu. Ovo je najsveobuhvatniji format 3D snimanja, namenjen situacijama kada je potrebna kompletna analiza: višestruki implantati, složene protetske rekonstrukcije, oralno-hirurška planiranja i ortodontska dijagnostika.
Imate pitanja? Pozovite nas ili dođite bez zakazivanja.
📍 Venizelosova 3, Stari Grad, Beograd 📞 063 841 15 60 ✉️ info@dentalscan3d.rs
Snimanje bez čekanja — rezultati odmah.
Dental Scan Beograd
Snimanje zuba Dental Scan
Centar za 3d snimanje zuba, Digitalni Ortopan i Dentalne snimke. Opremljen savremenim apartima za cbct snimanje i 2d snimke visoke rezolucije. Koristimo softvere sa veštačkom inteligencijom (AI) za obradu i analizu rendgen snimaka. Prioritet stavljamo na bezbedno snimanje zuba u modernom prostoru sa visokim stepenom higijene i udobnom ambijentu. Lokacija u centru Beograda na Starom Gradu, parking za automobile u zoniranom delu. Adresa: Venizelosova 3, Beograd – Stari Grad (Dorćol)

