Telerendgen snimak – digitalni lateralni cefalogram za ortodontsku terapiju

24.02.2026. Saveti za pacijente

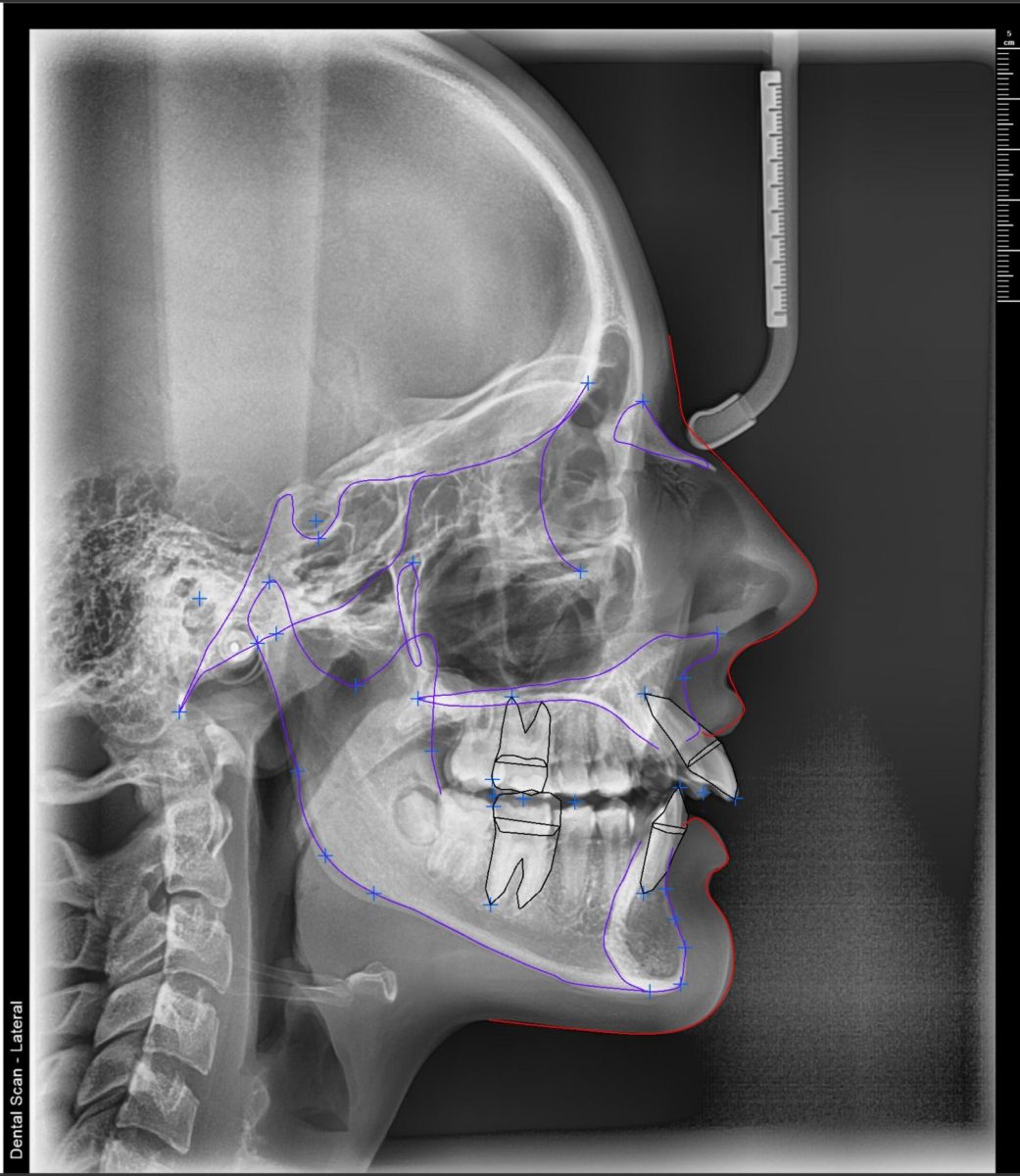
Teleredgen snimak sa ortodontskom analizom

Telerendgen snimak predstavlja standard u ortodontskoj dijagnostici i osnovni je radiološki pregled koji se koristi za planiranje ortodontske terapije. Svaki savremeni ortodont zahteva telerendgen pre započinjanja terapije, posebno kada je u pitanju snimak za fiksnu protezu.

U praksi, telerendgen se često naziva i:

Bez obzira na naziv koji pacijenti koriste u pretrazi, svi ovi termini odnose se na isti dijagnostički postupak – telerendgen snimanje.


Na osnovu jednog kvalitetno urađenog telerendgen snimka, moguće je precizno planirati terapiju fiksnom protezom i proceniti potrebu za dodatnim ortodontskim ili ortopedskim intervencijama.

Kod dece, telerendgen snimak ima posebnu vrednost jer omogućava analizu rasta vilice i određivanje optimalnog vremena za započinjanje ortodontske terapije.


Šta pokazuje telerendgen snimak?

Digitalni telerendgen omogućava ortodontu da proceni:

  1. međusobni odnos vilica
  2. položaj i nagib zuba
  3. skeletni tip pacijenta
  4. pravac rasta vilice
  5. odnos mekih i tvrdih tkiva.

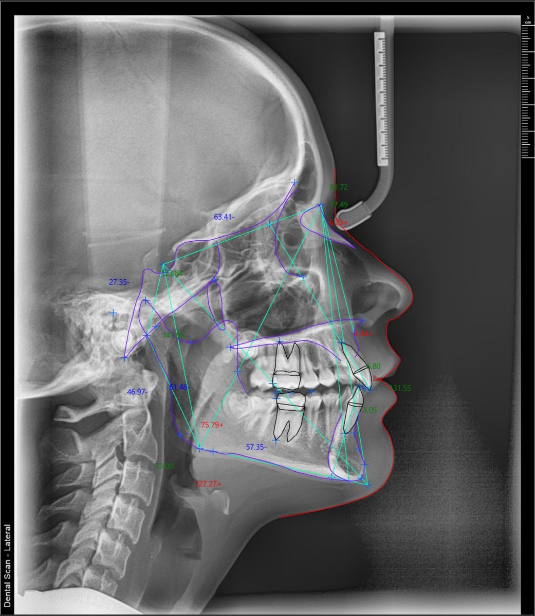
Telerendgen uz pomoć veštačke inteligencije – 15 analiza za 5 minuta

U našem Dental Scan centru, svaki telerendgen snimak se digitalno obrađuje pomoću softvera zasnovanog na veštačkoj inteligenciji.

AI tehnologija automatski prepoznaje cefalometrijske tačke na telerendgen snimku, čime se eliminiše manuelno obeležavanje i smanjuje mogućnost greške u ortodontskoj analizi.

Na osnovu jednog telerendgen snimka, moguće je digitalno izraditi do 15 ortodontskih analiza u roku od svega nekoliko minuta, uključujući:

Zahvaljujući digitalnoj obradi, telerendgen snimak postaje pouzdana osnova za planiranje ortodontske terapije i praćenje rezultata tokom vremena.

Telerendgen snimak – cena i gde uraditi telerendgen?

Pacijenti koji pretražuju:

treba da imaju u vidu da kvalitet telerendgen snimka direktno utiče na tačnost ortodontske analize i plan terapije.

U našem centru za snimanje zuba, digitalni telerendgen se izrađuje uz minimalnu dozu zračenja i maksimalnu dijagnostičku preciznost, uz mogućnost kompletne ortodontske analize odmah nakon snimanja po nalogu Ortodonta.

3D snimanje zuba

2D snimanje zuba


Imate pitanja? Pozovite nas ili dođite bez zakazivanja.

📍 Venizelosova 3, Stari Grad, Beograd 📞 063 841 15 60 ✉️ info@dentalscan3d.rs

Snimanje bez čekanja — rezultati odmah.


Dental Scan Beograd

Snimanje zuba Dental Scan

Centar za 3d snimanje zuba, Digitalni Ortopan i Dentalne snimke. Opremljen savremenim apartima za cbct snimanje i 2d snimke visoke rezolucije. Koristimo softvere sa veštačkom inteligencijom (AI) za obradu i analizu rendgen snimaka. Prioritet stavljamo na bezbedno snimanje zuba u modernom prostoru sa visokim stepenom higijene i udobnom ambijentu. Lokacija u centru Beograda na Starom Gradu, parking za automobile u zoniranom delu. Adresa: Venizelosova 3, Beograd – Stari Grad (Dorćol)

Pozovite telefonom

063 841 15 60

Pošaljite poruku