Ortopan – Savremeno digitalno snimanje zuba i vilica

Ortopan: Temelj savremene dentalne dijagnostike
Standard bez koga je moderna stomatologija postala nezamisliva. Preciznost, bezbednost i tehnologija koja menja pogled na oralno zdravlje. Ortopan – panoramski snimak koji otkriva sve ono što je oku nevidljivo.
Ortopan snimak i zašto je neophodan?
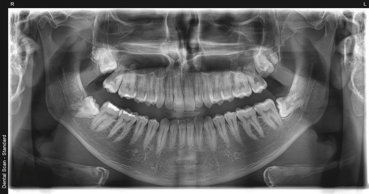
U svetu dentalne dijagnostike, ortopan (poznat i kao ortopantomogram) predstavlja zlatni standard. To je digitalni panoramski rendgenski snimak koji pruža sveobuhvatan, dvodimenzionalni prikaz celokupnog viličnog sistema. Za razliku od pojedinačnih snimaka zuba, koji se fokusiraju na izolovanu regiju, ortopan nam donosi „širu sliku“.
U Dental Scan centru, koristeći najsavremenije digitalne senzore, omogućavamo uvid u:
- Kompletan niz zuba u gornjoj i donjoj vilici;
- Stanje korenova i okolne koštane strukture;
- Temporomandibularne zglobove i njihovu funkcionalnost;
- Maksilarne sinuse i njihov odnos sa korenima gornjih zuba;
- Položaj impaktiranih zuba, uključujući i problematične umnjake;
- Rano otkrivanje patoloških promena, kao što su ciste, granulomi ili tumori kosti.
Digitalno snimanje zuba Beograd centar, Stari Grad, Dental Scan
Kada je pravi trenutak za panoramski snimak zuba?
Stručnjaci su jasni: kvalitetna terapija počinje preciznom dijagnozom. Ortopan snimak je polazna tačka u gotovo svim granama stomatologije. Naši protokoli u Dental Scan centru preporučuju ovo snimanje u sledećim scenarijima:
- Planiranje ortodontske terapije: Nemoguće je postaviti fiksnu protezu bez detaljnog uvida u položaj svih zuba i stanje viličnog zgloba.
- Implantologija i oralna hirurgija: Procena gustine kosti i blizine sinusa ili nerava ključna je pre ugradnje implantata.
- Hronični bolovi i upale: Kada uzrok bola nije vidljiv golim okom, ortopan otkriva skrivene procese u kosti.
- Sistematski pregledi: Preventivni panoramski snimak jednom u dve godine može sprečiti komplikacije koje se razvijaju asimptomatski.
Važna napomena: Ortopan je često neophodan „uvodni“ snimak pre nego što se pacijent uputi na još preciznije 3D CBCT snimanje za najsloženije hirurške zahvate.
Digitalna tehnologija: Minimalno zračenje, maksimalna preciznost
Mnogi pacijenti postavljaju pitanje bezbednosti. Odgovor donosi digitalna revolucija. U Dental Scan centru koristimo isključivo digitalne ortopan sisteme. Prednosti su višestruke:
Ekološki aspekt: Nema upotrebe opasnih hemikalija za razvijanje filmova.
Redukcija zračenja: Doza zračenja je smanjena i do 80% u poređenju sa starim, analognim aparatima na filmu.
Brzina bez premca: Ceo proces snimanja traje svega 10 do 20 sekundi, a digitalni snimak je vidljiv na ekranu monitora istog trenutka.

Kako izgleda postupak snimanja u Dental Scan centru?
Postupak je komforan, brz i potpuno bezbolan. Pacijent se pozicionira u aparat, dok senzorska ruka uređaja vrši kružnu rotaciju oko glave. Vaš jedini zadatak je da ostanete mirni nekoliko sekundi.
Nakon završetka, rezultate dobijate u formatu koji vama i vašem stomatologu najviše odgovara:
- Slanje putem e-maila direktno Vama ili u ordinaciju;
- Narezivanje na CD ili prenos na USB memoriju;
- Štampa na visokokvalitetnoj rendgen foliji.
Gde se tačno nalazimo?
Naš centar za dentalnu dijagnostiku Dental Scan nalazi se u centru Beograda na Starom Gradu, Dorćol – Venizelosova broj 3, dostupan iz svih delova Beograda, lokal sa lakim pristupom za pacijente. Pogledajte lokaciju za snimanje ortopana na googl maps.
Ortopan Beograd: Zašto odabrati Dental Scan?
Kada tražite ortopan u Beogradu, prioritet treba da budu iskustvo radiološkog tehničara i kvalitet opreme. Naš centar za dentalnu dijagnostiku na sajtu dentalscan3d.rs nudi uslugu koja postavlja standarde.
Bez zakazivanja, bez čekanja u redovima i uz najviši nivo profesionalizma, Dental Scan je vaš partner u očuvanju oralnog zdravlja. Naša misija je jasna: pružiti stomatolozima savršen dijagnostički alat, a pacijentima apsolutnu sigurnost i komfor.
Investicija u kvalitetan ortopan snimak je investicija u uspeh vaše buduće stomatološke terapije. Jer, videti jasno znači lečiti pravilno.

Često postavljana pitanja o Ortopanu
1. Da li je potrebno zakazivanje za snimanje? U našem centru u Beogradu, snimanje obavlja se brzo i efikasno. Preporučujemo da nas pozovete pre dolaska kako biste proverili trenutnu gužvu, ali u većini slučajeva snimanje se završava za manje od 15 minuta tako da zakazivanje nije potrebno.
2. Koliko zrači digitalni ortopan? Zahvaljujući digitalnoj tehnologiji najnovije generacije, doza zračenja je svedena na minimum. Ona je uporediva sa prirodnim zračenjem kojem ste izloženi tokom kraćeg avionskog leta, što ga čini izuzetno bezbednim dijagnostičkim metodom.
3. Da li deca smeju da snimaju panoramski snimak zuba? Da, digitalni ortopan je bezbedan i za decu. Često je neophodan ortodontima kako bi se pratila smena mlečnih zuba i pravilan rast stalnih zuba, kao i planiranje mobilnih ili fiksnih proteza.
4. U kom formatu dobijam snimak? Vaš digitalni snimak dobijate odmah nakon snimanja. Možemo ga poslati direktno vašem stomatologu ili Vama na e-mail, narezati na CD ili odštampati na foliji, zavisno od vaših potreba.
5. Koliko dugo važi ortopan snimak? Za opštu dijagnostiku, stomatolozi obično prihvataju snimke koji nisu stariji od 6 meseci do godinu dana, jer se stanje u usnoj duplji može promeniti tokom vremena.
Dental Scan cenovnik
Venizelosova 3, Stari Grad, Beograd
Za dodatne informacije pozovite ili pošaljite poruku.
3D snimanje zuba
3D ENDO
3D snimanje zuba malo polje 5×5
- Trodimenzionalna slika korenskih kanala, otkriva skrivene kanale i periapikalne lezije koje 2D snimak ne može prikazati.Polje snimanja od svega 5×5 cm znači ciljanu dijagnostiku. Snimak je gotov za manje od 10 minuta, uz AI asistenciju i digitalnu dostavu — bez zakazivanja.
3D FOKUS
- CBCT Fokus snimak (8×8 cm) namenjen je preciznoj trodimenzionalnoj analizi ograničene regije vilice — bez nepotrebnog izlaganja celih vilica i sinusa. Idealno rešenje kada je dijagnoza lokalizovana, a potrebna su pouzdana merenja i jasna anatomska slika.
3D SEMI
- Planiranje ugradnje implantata, oralno-hirurške intervencije poput sinus lifta i koštanih augmentacija, kao i kompleksna protetska rekonstrukcija. Snimak sadrži sve podatke o prostornim odnosima zuba, sinusa i mandibularnog kanala — u formatu, kompatibilnom sa vodećim softverima za planiranje.
3D STANDARD
3D snimanje zuba obe vilice 12×9
- CBCT Standard (12×9 cm) obuhvata obe vilice u celosti — gornju i donju — u jednom skenu. Ovo je najsveobuhvatniji format 3D snimanja, namenjen situacijama kada je potrebna kompletna analiza: višestruki implantati, složene protetske rekonstrukcije, oralno-hirurška planiranja i ortodontska dijagnostika.
2D snimanje zuba
Ortopan
- Ortopan (ortopantomografija) – panoramska 2D radiografska tehnika koja u jednom snimku prikazuje obe vilice, sve zube i korenove, vilične zglobove i okolne koštane strukture.
Telerendgen
- Lateralni cefalogram (Telerendgen) je bočni radiografski snimak glave koji prikazuje prostorne odnose između zuba, vilica i kostiju lica. Nezamenljiv je u ortodontskoj dijagnostici — od postavljanja terapijskog plana do praćenja rasta i razvoja
Imate pitanja? Pozovite nas ili dođite bez zakazivanja.
📍 Venizelosova 3, Stari Grad, Beograd 📞 063 841 15 60 ✉️ info@dentalscan3d.rs
Snimanje bez čekanja — rezultati odmah.
Dental Scan Beograd
Snimanje zuba Dental Scan
Centar za 3d snimanje zuba, Digitalni Ortopan i Dentalne snimke. Opremljen savremenim apartima za cbct snimanje i 2d snimke visoke rezolucije. Koristimo softvere sa veštačkom inteligencijom (AI) za obradu i analizu rendgen snimaka. Prioritet stavljamo na bezbedno snimanje zuba u modernom prostoru sa visokim stepenom higijene i udobnom ambijentu. Lokacija u centru Beograda na Starom Gradu, parking za automobile u zoniranom delu. Adresa: Venizelosova 3, Beograd – Stari Grad (Dorćol)


