Ortopan cena, vrste i prednosti

Ortopan cena, vrste i prednosti
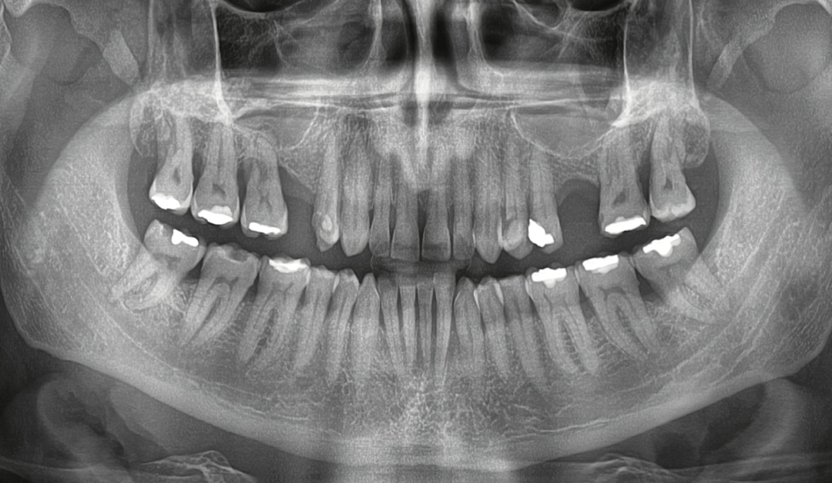
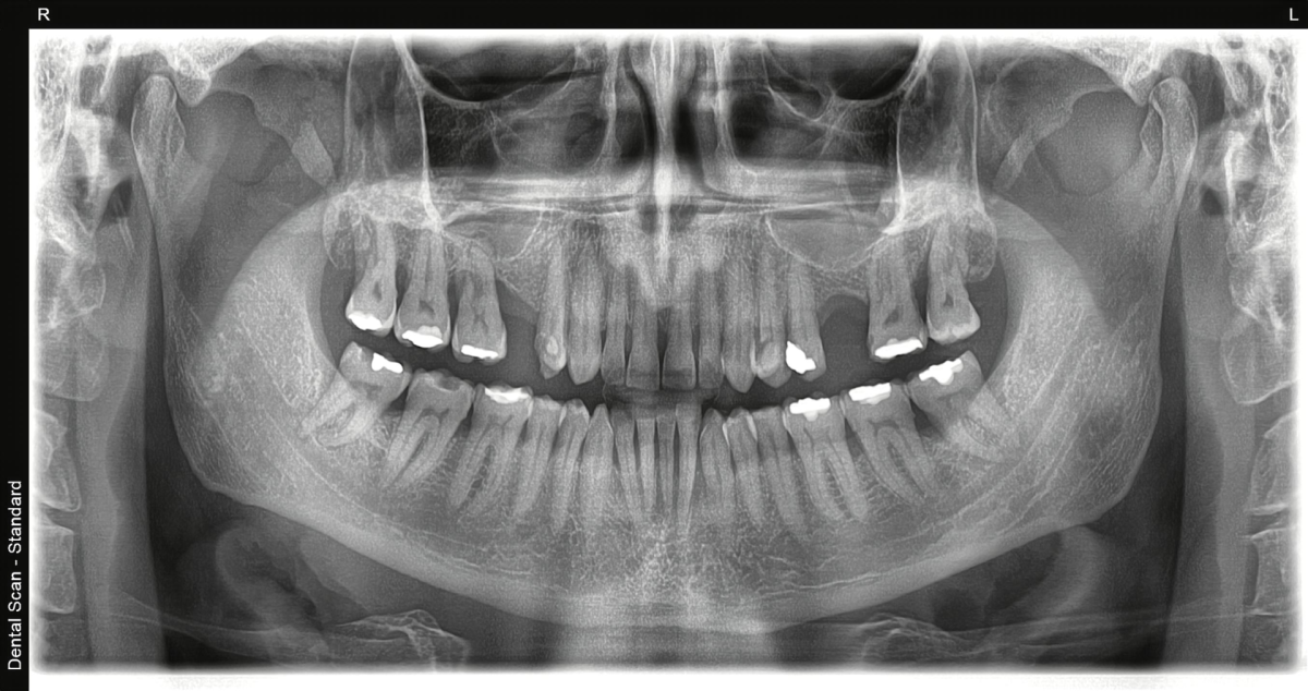
Da li ste se ikada zapitali kako stomatolog može da dobije pregled cele usne duplje samo jednim brzim snimkom? Odgovor je OPT snimak zuba, poznat i kao ortopan ili panoramski snimak zuba. Ova vrsta dentalnog rendgenskog snimanja omogućava detaljan prikaz gornje i donje vilice, svih zuba, korenova i okolnih koštanih struktura na jednom snimku.
OPT snimak je jedno od najvažnijih dijagnostičkih sredstava u savremenoj stomatologiji. Koristi se za otkrivanje impaktiranih umnjaka, cista, promena u kosti, upalnih procesa, parodontoloških problema i drugih stanja koja nije moguće uvek jasno sagledati običnim pregledom. Brz je, bezbolan i neinvazivan, a daje široku sliku oralnog zdravlja pacijenta.
Šta je Ortopan snimak zuba?
Ortopan snimak zuba ili ortopantomogram je panoramski 2D rendgenski snimak koji prikazuje:
- sve zube u obe vilice
- gornju i donju vilicu
- korenove zuba
- vilične zglobove
- okolne koštane strukture
- položaj impaktiranih zuba, naročito umnjaka
Za razliku od klasičnih intraoralnih snimaka koji prikazuju samo mali deo regije, ortopan daje celokupan pregled usne duplje na jednoj slici. Upravo zato se često koristi kao prvi korak u dijagnostici i planiranju terapije.
Ortopan cena, vrste snimaka i sve detalje o digitalnom snimanju zuba možete saznati i uživo kada nas posetite. Naša lokacije je lako dostupna, nalazimo se u Venizelosovoj 3, Beograd – Stari Grad.
Uvek smo Vam dostupni takodje i za upite putem email-a ili telefona.

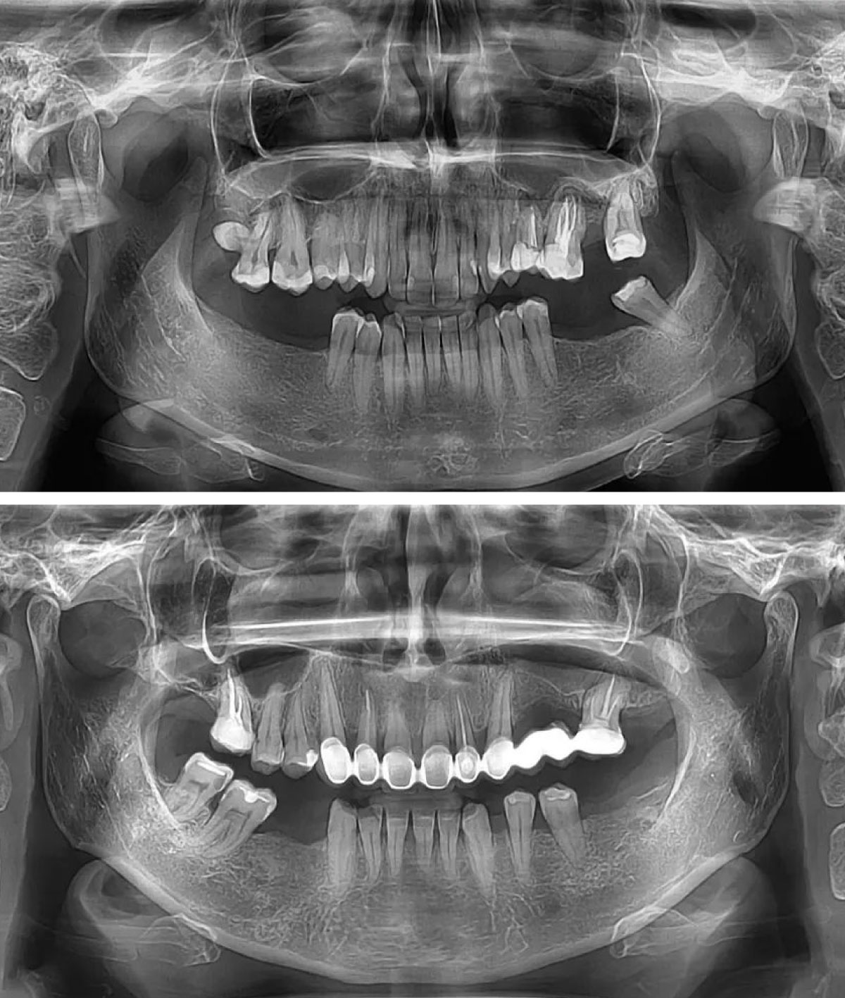
Kada se radi ortopan snimak?
OPT snimak zuba se najčešće preporučuje kada je potrebno dobiti širi uvid u stanje zuba i vilica. Stomatolozi ga koriste u različitim granama stomatologije, uključujući oralnu hirurgiju, ortodonciju, implantologiju i parodontologiju.
Najčešće indikacije za ortopan su:
- pregled umnjaka i njihovog položaja
- planiranje vađenja zuba
- planiranje ugradnje implantata
- procena opšteg stanja zuba i kosti sumnja na ciste, granulome ili druge promene
- ortodontska dijagnostika praćenje razvoja zuba kod dece i adolescenata

Ortopan cena uključuje snimak sa više prednosti
Ortopan snimak ima veliki značaj jer omogućava brz i pregledan uvid u kompletno stanje zuba i vilica. Njegove glavne prednosti su:
- pruža sveobuhvatan prikaz cele usne duplje
- snimanje traje kratko i potpuno je bezbolno
- neinvazivna je procedura pomaže u otkrivanju skrivenih problema kao što su ciste, impaktirani zubi i promene na kosti
- značajno olakšava planiranje terapije
- koristan je i za decu i za odrasle
- koristi relativno malu dozu zračenja
- poboljšava komunikaciju između stomatologa i pacijenta, jer se stanje jasno vidi na jednom snimku
Vrste dentalnih rendgenskih snimaka
Pored ortopan snimka, u stomatologiji se koriste i druge vrste rendgenskih snimanja, u zavisnosti od dijagnostičke potrebe.
Segmentni ortopan
Prikazuje bočne zube gornje i donje vilice na jednom snimku. Najčešće se koristi za otkrivanje karijesa između zuba i procenu nivoa kosti.
Periapikalni snimak
Prikazuje jedan ili dva zuba od krune do vrha korena. Koristan je za dijagnostiku promena oko korena, upala i apscesa.
Okluzalni snimak
Prikazuje širu regiju gornje ili donje vilice i koristi se za pregled većih promena, dodatnih zuba, cista ili fraktura.
Full Mouth Series (FMX)
Predstavlja seriju više pojedinačnih snimaka kojima se detaljno prikazuju svi zubi i okolna tkiva.
Cefalometrijski snimak
Koristi se najčešće u ortodonciji. Prikazuje profil glave i odnos vilica, zuba i mekih tkiva lica.
CBCT 3D snimanje
CBCT daje trodimenzionalni prikaz zuba, kosti, nerava i okolnih anatomskih struktura. Koristi se kada je potrebna veoma precizna dijagnostika, naročito kod implantologije, oralne hirurgije i složenijih endodontskih procedura.
Digitalni rendgenski snimci
Savremeni digitalni sistemi omogućavaju brže dobijanje snimka, bolji kvalitet slike i nižu dozu zračenja u odnosu na starije analogne metode, uz to ortopan cena snimka je i dalje pristupačna.

Kolika je ortopan cena snimka zuba?
Ortopan cena snimka zuba može da varira u zavisnosti od grada, lokacije i opremljenosti centra za dijagnostiku. Na cenu mogu uticati i dodatne usluge, poput štampe snimka ili izdavanja na CD-u i USB-u.
Pacijentima je važno da znaju da je ortopan jedan od najisplativijih dijagnostičkih snimaka u stomatologiji, jer za kratko vreme daje veliki broj korisnih informacija. Upravo zato se često koristi kao osnovni snimak pri prvom pregledu, planiranju terapije ili kontroli postojećeg stanja.
U našem centru za snimanje zuba, digitalni ortopan snimak se izrađuje uz minimalnu dozu zračenja i maksimalnu dijagnostičku preciznost.



Kako izgleda snimanje?
Snimanje ortopana je jednostavno i traje svega nekoliko minuta. Pacijent stoji ili sedi u aparatu, glava se postavlja u pravilan položaj, a uređaj kruži oko glave i pravi panoramski snimak obe vilice. Tokom samog snimanja važno je da pacijent bude miran kako bi snimak bio što jasniji.
Procedura je brza, bezbolna i ne zahteva poseban oporavak nakon snimanja.
Zašto je ortopan važan u savremenoj stomatologiji?
Savremena stomatologija se oslanja na preciznu dijagnostiku. Bez kvalitetnog snimka, mnogi problemi mogu ostati neprimećeni ili se terapija ne može planirati dovoljno precizno. OPG snimak omogućava stomatologu da donese sigurniju odluku i da terapiju prilagodi stvarnom stanju u ustima pacijenta.
Kod planiranja implantata, ortodontske terapije, oralnohirurških intervencija i vađenja impaktiranih zuba, ortopan je često prvi i neophodan korak.
Ortopan snimak zuba je brz, pouzdan i veoma koristan dijagnostički pregled koji omogućava detaljan uvid u stanje zuba, vilica i okolnih struktura. Zahvaljujući panoramskom prikazu, stomatolog može preciznije da postavi dijagnozu i pravilno planira terapiju.
Ako vam je potreban pregled cele vilice, procena umnjaka, planiranje implantata ili ortodontska analiza, ortopan snimak zuba je jedan od najvažnijih prvih koraka ka tačnoj i sigurnoj dijagnostici.
Za ortopan snimak cenu pogledajte u našem cenovniku
Venizelosova 3, Stari Grad, Beograd
Za dodatne informacije pozovite ili pošaljite poruku.

