Ortopan snimak zuba – Kada, zašto i kako?

Ortopan snimak zuba nove generacije
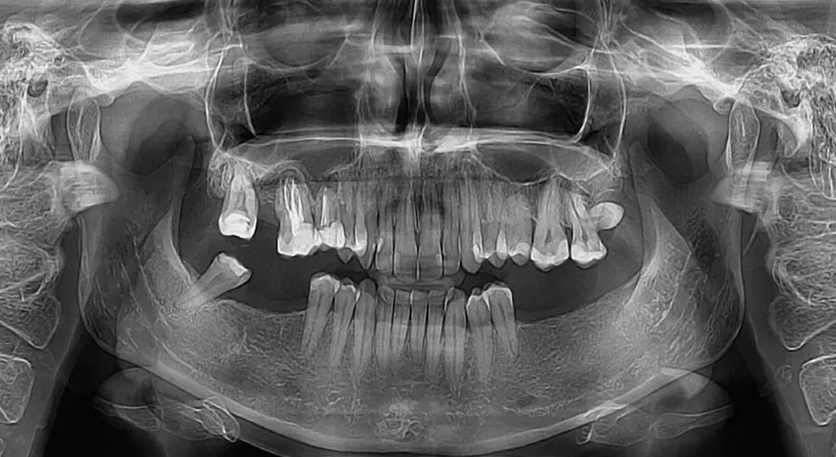
U svetu moderne stomatologije, vizuelni pregled ogledalom je samo vrh ledenog brega. Ono što se dešava ispod desni, u kosti i viličnim zglobovima, često određuje uspeh celokupne terapije. Zato je Ortopan snimak – Ortopan tomografija (OPT) postala zlatni standard bez kojeg je nemoguće zamisliti ozbiljno planiranje lečenja.
U našem centru za snimanje zuba u Beogradu podigli smo lestvicu na najviši nivo: investirali smo u najnovije aparate koji pružaju rezoluciju kakva do sada nije bila dostupna na našem tržištu.
Snimanje zuba Beograd centar Dental Scan
Snimanje zuba u srcu Beograda
Gde se tačno nalazimo?
Snimanje zuba Beograd centar, Venizelosova 3, lokacija odlično povezana sa svim delovima Beograda. Bilo da dolazite pešice iz pravca Skupštine, Trga Republike, Kalemegdana ili koristite sopstveni prevoz naša lokacija je lako dostupna. Pogledajte lokaciju za snimanje zuba Beograd centar na googl maps.
Šta je zapravo Ortopan snimak – Ortopan tomografija?
Stručno rečeno, ortopan predstavlja panoramsko snimanje vilica u ortoradijalnoj projekciji. Specifičnost ove metode je u tome što je centralni snop x-zraka tokom celog procesa upravan na ravan vilica.
Dok se rendgenska cev kreće iza glave pacijenta po putanji parabole, digitalni senzori sinhrono beleže podatke ispred glave. Rezultat je savršen prikaz:
- Kompletne donje vilice sa zglobnim glavicama (kondilima).
- Maksilarnih sinusa (posebno alveolarnih recesusa).
- Gornje vilice sa svim pripadajućim zubima.
- Regije pljuvačnih žlezda.
Tehnologija koja pravi razliku: Dental Scan vs. Stari aparati
Kao profesionalci, znamo da su najveće mane starih ortopan aparata bile deformacije slike u predelu premolara i „dupliranje“ kičmenog stuba preko prednjih zuba.
Naša nova oprema eliminiše ove nedostatke:
- Visoka rezolucija bez uveličanja: Kod starih aparata, udaljenost kasete od objekta dovodila je do uveličanja i gubitka oštrine. Naši digitalni senzori nove generacije daju realne proporcije 1:1.
- Savršena tomografska ravan: Naša mašina koristi tri centra rotacije, čime se postiže da „oštra zona“ (širine oko 1cm) idealno prati anatomsku krivinu vilice pacijenta.
- Redukcija artefakata: Zahvaljujući naprednim algoritmima, svetlina orofarinksa i senke mekih tkiva svedene su na minimum.
Indikacije: Kada je Ortopan nezaobilazan?
Bilo da ste pacijent koji želi zdrav osmeh ili stomatolog koji planira terapiju, ortopan snimak je ključan za:
- Implantologiju i hirurgiju: Planiranje ugradnje implantata i operacije impaktiranih umnjaka.
- Patološke procese: Detekcija cista, tumora i inflamatornih lezija u kosti.
- Lečenje zuba: Otkrivanje karijesa, kontrola plombi, kontrola izlečenih zuba.
- Ortodonciju: Praćenje smene denticije kod dece i planiranje fiksnih proteza.
- Parodontologiju: Precizan uvid u nivo alveolarne kosti oko svih zuba istovremeno.
- TMZ dijagnostiku: Uporedni prikaz obe zglobne glavice viličnog zgloba.
Šta pacijent treba da zna?
Sam proces snimanja je brz, bezbedan i komforan.
- Priprema: Pre snimanja je potrebno ukloniti sav nakit, minđuše, naočare i pirsinge, jer metalni predmeti stvaraju „ghost slike“ koje mogu prekriti važne anatomske strukture.
- Pozicioniranje: Glava se fiksira u tri tačke radi maksimalne preciznosti.
- Trajanje: Sve je gotovo za 15 do 19 sekundi, tokom kojih je važno ostati potpuno miran.
Zaključak: Kvalitet snimka direktno utiče na kvalitet lečenja
Nije svaki ortopan isti. Loš snimak može sakriti početni proces na korenu ili pogrešno prikazati gustinu kosti. Birajući naš centar, birate najmoderniju dijagnostiku u Beogradu. Naša oprema nije samo nova – ona je trenutno tehnološki vrhunac u radiologiji zuba.
Uradite ortopan snimak odmah bez zakazivanja!
Venizelosova 3, Stari Grad, Beograd
Za dodatne informacije pozovite ili pošaljite poruku.
3D snimanje zuba
3D ENDO
3D snimanje zuba malo polje 5×5
- Trodimenzionalna slika korenskih kanala, otkriva skrivene kanale i periapikalne lezije koje 2D snimak ne može prikazati.Polje snimanja od svega 5×5 cm znači ciljanu dijagnostiku. Snimak je gotov za manje od 10 minuta, uz AI asistenciju i digitalnu dostavu — bez zakazivanja.
3D FOKUS
- CBCT Fokus snimak (8×8 cm) namenjen je preciznoj trodimenzionalnoj analizi ograničene regije vilice — bez nepotrebnog izlaganja celih vilica i sinusa. Idealno rešenje kada je dijagnoza lokalizovana, a potrebna su pouzdana merenja i jasna anatomska slika.
3D SEMI
- Planiranje ugradnje implantata, oralno-hirurške intervencije poput sinus lifta i koštanih augmentacija, kao i kompleksna protetska rekonstrukcija. Snimak sadrži sve podatke o prostornim odnosima zuba, sinusa i mandibularnog kanala — u formatu, kompatibilnom sa vodećim softverima za planiranje.
3D STANDARD
3D snimanje zuba obe vilice 12×9
- CBCT Standard (12×9 cm) obuhvata obe vilice u celosti — gornju i donju — u jednom skenu. Ovo je najsveobuhvatniji format 3D snimanja, namenjen situacijama kada je potrebna kompletna analiza: višestruki implantati, složene protetske rekonstrukcije, oralno-hirurška planiranja i ortodontska dijagnostika.
2D snimanje zuba
Ortopan
- Ortopan (ortopantomografija) – panoramska 2D radiografska tehnika koja u jednom snimku prikazuje obe vilice, sve zube i korenove, vilične zglobove i okolne koštane strukture.
Telerendgen
- General admission and member discounts for two adults
- Four free tickets per special exhibition
- Four single-use guest passes per year
Imate pitanja? Pozovite nas ili dođite bez zakazivanja.
📍 Venizelosova 3, Stari Grad, Beograd 📞 063 841 15 60 ✉️ info@dentalscan3d.rs
Snimanje bez čekanja — rezultati odmah.
Dental Scan Beograd
Snimanje zuba Dental Scan
Centar za 3d snimanje zuba, Digitalni Ortopan i Dentalne snimke. Opremljen savremenim apartima za cbct snimanje i 2d snimke visoke rezolucije. Koristimo softvere sa veštačkom inteligencijom (AI) za obradu i analizu rendgen snimaka. Prioritet stavljamo na bezbedno snimanje zuba u modernom prostoru sa visokim stepenom higijene i udobnom ambijentu. Lokacija u centru Beograda na Starom Gradu, parking za automobile u zoniranom delu. Adresa: Venizelosova 3, Beograd – Stari Grad (Dorćol)


