3D snimanje zuba Beograd – Najpreciznija CBCT dijagnostika

3D snimanje zuba Beograd – Dental Scan, Venizelosova 3.
Ako planirate ugradnju implantata, komplikovano vađenje umnjaka ili lečenje kanala korena, osnova svakog od ovih stomatoloških zahvata je dijagnostika. 3D snimanje zuba u Beogradu u Dental Scan centru podiže standarde preciznosti, pružajući stomatolozima kristalno jasan uvid, a pacijentima maksimalnu bezbednost.
U našem dijagnostičkom centru za 3D snimanje zuba koristimo CBCT tehnologiju najnovije generacije. Kombinacijom ultra-visoke rezolucije, veštačke inteligencije (AI) i minimalnog zračenja, dobijate rezultate koji su dostupni odmah nakon snimanja.
Personalizovani modovi snimanja: Od jednog zuba do cele vilice
U Dental Scan centru prilagođavamo polje snimanja vašim specifičnim potrebama, što direktno utiče na preciznost i smanjenje doze zračenja:
- 3D ENDO: Snimanje manje regije (npr. dva do tri zuba).
- 3D FOKUS: Snimanje obe vilice sa fokusom samo na zube bez umnjaka.
- 3D SEMI: Prikaz jedne kompletne vilice (gornje ili donje).
- 3D STANDARD: Sveobuhvatni snimak obe vilice sa svim pratećim strukturama.
Šta je 3D snimanje zuba i zašto je ključno?
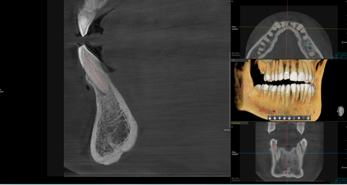
3D snimanje zuba (Cone Beam Computed Tomography) je revolucija u stomatološkoj radiologiji. Za razliku od klasičnog 2D ortopana, 3D snimak generiše trodimenzionalni model zuba, vilica, sinusa i koštanih struktura.
Glavne prednosti 3D snimka:
Sigurnost: Stomatolog vidi tačan položaj nerava i sinusa, čime se rizik od komplikacija svodi na minimum.
Vidljivost bez preklapanja: Otkriva anatomske detalje (poput dodatnih kanala korena) koji su na standardnim snimcima često skriveni.
Merenje u realnim proporcijama: Neophodno za precizno planiranje dentalnih implantata.

Kada vam je potrebno 3D snimanje zuba?
Moderni protokoli u stomatologiji danas podrazumevaju 3D dijagnostiku u sledećim slučajevima:
- Implantologija: Procena gustine kosti i planiranje pozicije implantata.
- Endodoncija (3D ENDO): Precizna analiza kanala korena i upalnih procesa.
- Oralna hirurgija: Bezbedne operacije zuba i vilica.
- Ortodoncija: Detaljan prikaz odnosa vilica i položaja zuba.
- Sinusi i zglobovi: Analiza maksilarnih sinusa i viličnog zgloba (TMZ).
3D snimanje zuba Beograd Dental Scan – Tehnologija koja pravi razliku
Naš CBCT aparat nije samo uređaj – to je moćan dijagnostički alat opremljen AI asistencijom.
Brzina: Sam proces snimanja traje svega par sekundi, a komfor pacijenta je prioritet.
Ultra-visoka rezolucija (do 49,5 μm): Vidljivost i najsitnijih fraktura.
Do 77% manje zračenja: Zahvaljujući „Low Dose“ tehnologiji, snimanje je bezbednije nego ikada.
Podrška za stomatologe i ordinacije
Dental Scan je pouzdan partner brojnim stomatološkim ordinacijama u Beogradu. Lekarima nudimo:
- Snimke u DICOM, PDF i 3D formatima.
- Online pristup: Preuzimanje snimaka sa servera i pokretanje bez potrebe za instalacijom softvera.
- Arhiviranje snimaka u trajanju od 12 meseci.

Gde se tačno nalazimo u Beogradu?
3D snimanje zuba Beograd, Venizelosova 3, lokacija u samom srcu Beograda. Trg republike (Beograd), Beogradska tvrdjava i park Kalemegdan, Trg Nikole Pašića i Skadarlija su udaljeni od nas laganom šetnjom. U neposerednoj blizi se nalaze i stanice za nekoliko linija gradskog prevoza. Pogledajte lokaciju za 3D snimanje zuba Beograd na googl maps.

Zašto odabrati Dental Scan za 3D snimanje zuba u Beogradu?
Kada tražite najbolju cenu i vrhunski kvalitet 3D snimanja, Dental Scan nudi kompletnu uslugu na jednom mestu. Bez zakazivanja u hitnim slučajevima, uz ljubazno osoblje i stručnu interpretaciju, vaš put ka zdravom osmehu počinje ovde.
Posetite nas u Beogradu i osigurajte sebi najprecizniju dijagnostiku.
3D snimanje zuba Beograd Dental Scan – Jer vrhunska terapija počinje vrhunskim snimkom.
Za 3D snimanje zuba Beograd cenu pogledajte u našem cenovniku
Venizelosova 3, Stari Grad, Beograd
Za dodatne informacije pozovite ili pošaljite poruku.
3D snimanje zuba
3D ENDO
3D snimanje zuba malo polje 5×5
- Trodimenzionalna slika korenskih kanala, otkriva skrivene kanale i periapikalne lezije koje 2D snimak ne može prikazati.Polje snimanja od svega 5×5 cm znači ciljanu dijagnostiku. Snimak je gotov za manje od 10 minuta, uz AI asistenciju i digitalnu dostavu — bez zakazivanja.
3D FOKUS
- CBCT Fokus snimak (8×8 cm) namenjen je preciznoj trodimenzionalnoj analizi ograničene regije vilice — bez nepotrebnog izlaganja celih vilica i sinusa. Idealno rešenje kada je dijagnoza lokalizovana, a potrebna su pouzdana merenja i jasna anatomska slika.
3D SEMI
- Planiranje ugradnje implantata, oralno-hirurške intervencije poput sinus lifta i koštanih augmentacija, kao i kompleksna protetska rekonstrukcija. Snimak sadrži sve podatke o prostornim odnosima zuba, sinusa i mandibularnog kanala — u formatu, kompatibilnom sa vodećim softverima za planiranje.
3D STANDARD
3D snimanje zuba obe vilice 12×9
- CBCT Standard (12×9 cm) obuhvata obe vilice u celosti — gornju i donju — u jednom skenu. Ovo je najsveobuhvatniji format 3D snimanja, namenjen situacijama kada je potrebna kompletna analiza: višestruki implantati, složene protetske rekonstrukcije, oralno-hirurška planiranja i ortodontska dijagnostika.
2D snimanje zuba
Ortopan
- Ortopan (ortopantomografija) – panoramska 2D radiografska tehnika koja u jednom snimku prikazuje obe vilice, sve zube i korenove, vilične zglobove i okolne koštane strukture.
Telerendgen
- Lateralni cefalogram (Telerendgen) je bočni radiografski snimak glave koji prikazuje prostorne odnose između zuba, vilica i kostiju lica. Nezamenljiv je u ortodontskoj dijagnostici — od postavljanja terapijskog plana do praćenja rasta i razvoja
Imate pitanja? Pozovite nas ili dođite bez zakazivanja.
📍 Venizelosova 3, Stari Grad, Beograd 📞 063 841 15 60 ✉️ info@dentalscan3d.rs
Snimanje bez čekanja — rezultati odmah.
Dental Scan Beograd
Snimanje zuba Dental Scan
Centar za 3d snimanje zuba, Digitalni Ortopan i Dentalne snimke. Opremljen savremenim apartima za cbct snimanje i 2d snimke visoke rezolucije. Koristimo softvere sa veštačkom inteligencijom (AI) za obradu i analizu rendgen snimaka. Prioritet stavljamo na bezbedno snimanje zuba u modernom prostoru sa visokim stepenom higijene i udobnom ambijentu. Lokacija u centru Beograda na Starom Gradu, parking za automobile u zoniranom delu. Adresa: Venizelosova 3, Beograd – Stari Grad (Dorćol)

